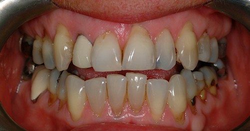
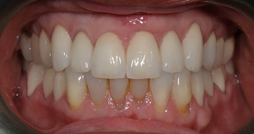
Full Mouth Reconstruction

Where there is extensive breakdown of multiple teeth due to wear, erosion or decay and/or multiple missing teeth requiring replacement, rather than continuing to waste time and money on in-effective “patch-up” solutions, a more comprehensive treatment approach is indicated.
Complex problems require a deeper understanding of many inter-related issues - Health, Function, Occlusion and Aesthetics.
Blending science and art, Dr Andrew Dillon as a Specialist Prosthodontist has the skills, training and experience to provide predictable outcomes in the most challenging and demanding situations.


Any surgical or invasive procedure carries risks. Before proceeding, you should seek a second opinion from an appropriately qualified health practitioner.


