What is a Prosthodontist?
Not all dentists are the same.

A Prosthodontist has graduated from University School of Dentistry to first become a general dentist and then undertaken two or more years of specialist training to obtain a masters degree in Prosthodontics.
A Prosthodontist is a registered specialist with the Dental Board of Australia. There are many general dentists who have a special interest in the field of prosthodontics, but they are not formally registered as specialists.
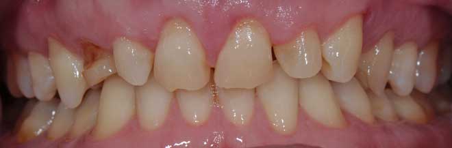
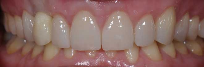
Prosthodontics is the area of dentistry involved with rebuilding your smile to the best possible aesthetics, function and health or replacing missing teeth with implants.
Dr Dillon has over 20 years of hands-on specialist experience in prosthodontics and has the skills, training and experience to provide aesthetic and functional outcomes in the most challenging and demanding situations.
Whether dealing with isolated issues or complicated procedures involved with rebuilding the whole mouth you can trust that Dr Dillon has the know how and experience to diagnose, plan and deliver treatment that fulfills your individual requirements.
If you have been referred by your General Dentist or other Dental or Medical Specialist for prosthodontic services, it is because your regular trusted practitioner has your best interest at heart and wants to ensure you receive the best possible care for your problem.
For people who do not have a regular trusted dentist and require prosthodontic services, you can now make a direct appointment to see Dr Dillon without the need for a referral.




