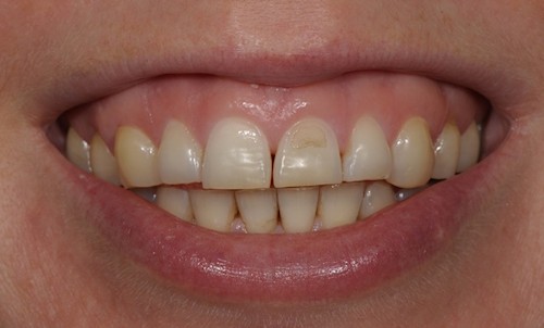
Dental Erosion

Results in: Disappearing, sensitive teeth, poor aesthetics.
Your teeth are highly mineralized. Acid strips the mineral structure from your teeth. The acid may come from your stomach if you suffer from regurgitation or frequent vomiting.
Acid exposure can also be from your diet. Many food and drinks are highly acidic and frequent intake can cause severe erosion.
Teeth already softened by erosion are more rapidly worn away in combination with clenching and grinding activity.
If you are concerned that any of these issues may be affecting you, don’t delay in contacting us and making an appointment for specialist assessment and treatment.




