Clenching & Grinding (Bruxism)
Results in: Wear and fracture of teeth, sore jaw muscles, TMJ issues.

Did you know that you are probably a ‘clencher’ or ‘grinder’ of your teeth?
Over 90% of the population ‘brux’ nightly during their sleep!
1 in 5 people will cause severe damage to their teeth, jaw muscles or jaw joints. There is no association between the severity of clenching and grinding and awareness of this damaging activity.
Clenching and grinding causes overloading. One night of clenching and grinding is equivalent to about 15 days of normal chewing in terms of the duration of time that the teeth are meshed together and with about 5 times the normal bite force applied, accelerated breakdown is inevitable.
Bruxism often requires the use of a night guard (called a splint) to prevent further overload. Splint design
varies according to whether we are trying to protect the teeth, muscles or joints. If there are muscle and
joint symptoms, TMJ physiotherapy may be required from our dedicated TMJ physiotherapist.
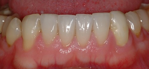
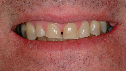
View our Before and After Gallery
If you are the 1 in 5:
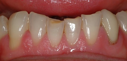
For the teeth: clenching and grinding causes either tooth wear resulting in shortening and thinning of the
teeth or tooth cracking where hairline cracks slowly propagate through the teeth leading to cusp fracture or a
split tooth.
For the muscles: clenching and grinding is like trying to run a nightly marathon with your jaw muscles. You may wake with the facial muscles feeling tense, sore or tired, the teeth may hurt due to referred muscular pain and you may suffer from regular (often daily) headaches.
For the joints: the jaw joint (TMJ) is a complex joint with a shock-absorbing disc protecting the joint
surfaces. Clenching and grinding can however cause disc displacement, thinning and even perforation of the
disc resulting in clicking, locking or pain within the jaw joints.
If you are concerned that any of these issues may be affecting you, don’t delay in contacting us and making an appointment for specialist assessment and treatment.








