Complex Cases


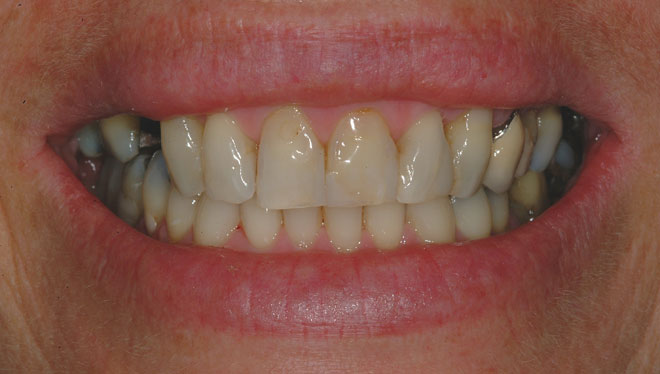
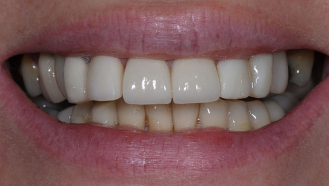
Case 1
Julie has had comprehensive smile rejuvenation with bonded porcelain restorations


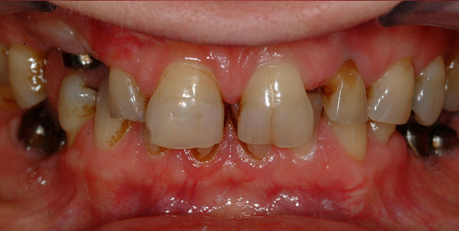
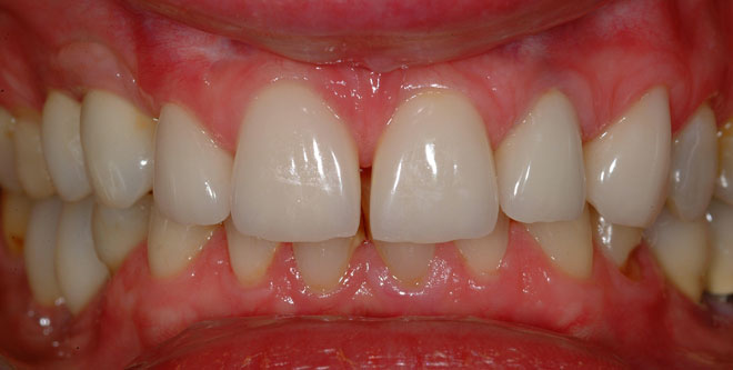
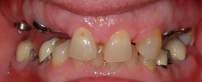
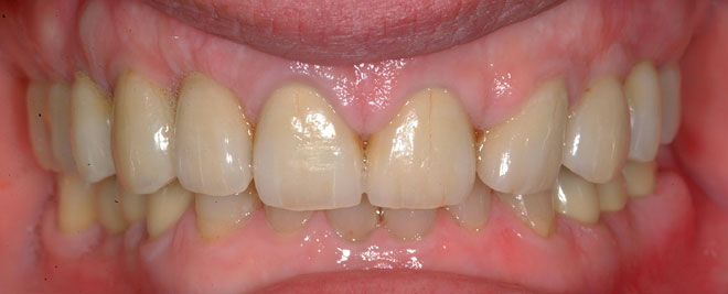
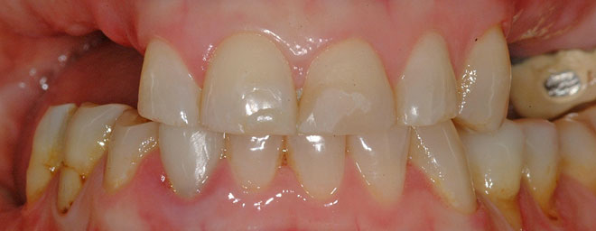
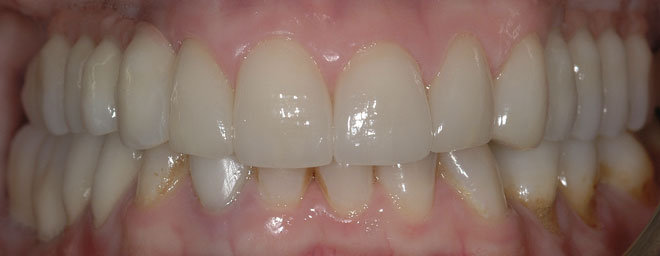
Case 2
Elaine did not like the "look" of the upper anterior cosmetic work recently completed by her dentist. She
elected to take a more comprehensive approach to restore best aesthetics and function with a combination of
crown and bridgework, bonded ceramic creneers and implant dentistry.


Case 3
Anna has had implants to replace missing back teeth and ceramic crowns on the upper front teeth to rebuild a
lighter, cleaner more youthful smile.


Case 4
Ruth has had implants to replace missing back teeth and ceramic crowns on her remaining upper front and
lower back teeth to rebuild a natural (age appropriate) smile.


Case 5
Mona has had the worn and chipped upper anterior teeth restored with metal-free ceramic crowns and the
missing back teeth replaced with implants. Because of the extensive posterior ridge resorption, the lost gum
tissue has beed replaced with pink porcelain as part of the implant reconstruction.


