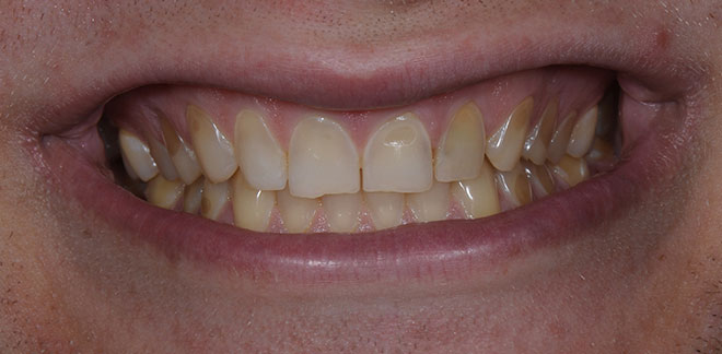
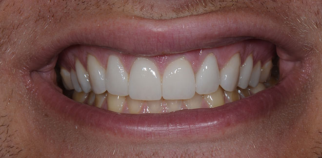
Dental Erosion


Sport drinks have resulted in stripping of the enamel from Keith’s upper teeth with exposure of the soft and sensitive (yellow) dentine core. Bonded ceramic restorations have been used to cover and protect the exposed dentine and re-build the upper teeth to ideal contour.


