Tooth borne Bridges


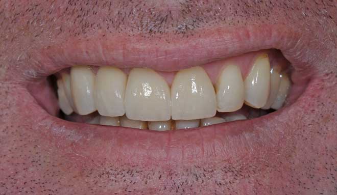
Rob has had a gum lift on his worn and broken down upper central incisors, an all-ceramic bridge replacing his missing right lateral incisor and an all-ceramic crown on his left central incisor.


Marinda has had poor quality crown and bridgework that requires replacement to improve aesthetics.
A new 4-unit all-ceramic Zirconia bridge has been anchored to the upper right canine and left front tooth, replacing both the missing right incisors. To provide a more natural appearance for the replacement porcelain teeth, a gum graft has been performed to restore normal ridge contour. New crowns have been placed on the left lateral incisor and canine tooth. The irregular gum scaffold has been returned to aesthetic harmony through a combination of gum lift on the teeth to be crowned and grafting of the ridge.



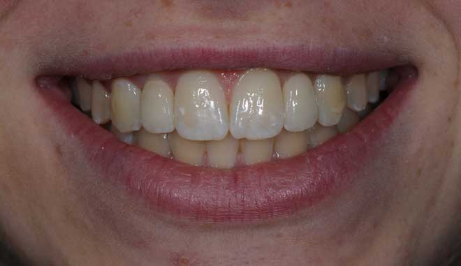
Like many young teenagers with missing lateral incisors, Charlotte’s bone thickness is insufficient for an implant. Not only would extensive bone grafting be required, but also the spacing between the adjacent teeth is marginal for implant replacement. Placing an implant in this situation may permanently damage the pink gum papilla (the gum triangle) that normally fills the space between the teeth.
A bonded Maryland bridge results in a far more predictable aesthetic outcome. Because the ridge has collapsed inwards, a gum graft has been performed to restore soft tissue volume, giving the appearance of the replacement porcelain tooth on the Maryland Bridge emerging from the ridge (like a natural tooth) rather than sitting on it. The bonded wing attached to the canine tooth is completely invisible.


Sheree has had the missing upper right lateral incisor replaced with a bonded Maryland Bridge and the old bonding on the left lateral incisor replaced with a porcelain veneer. Prior to restoration the teeth were bleached.


