Smile Transformation
- Crowding & Discolouration
- Crown / Veneer Combination
- Replace Old Crowns
- Replace Missing Anterior Teeth / Veneer
- Tooth Shape & Proportion
- Tooth Wear
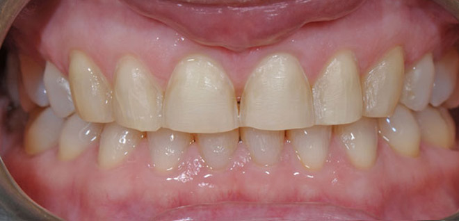
Case 1
Jacinta has a combination of porcelain veneers and a new crown on her left lateral incisor to hide
discolouration and rejuvenate her smile.
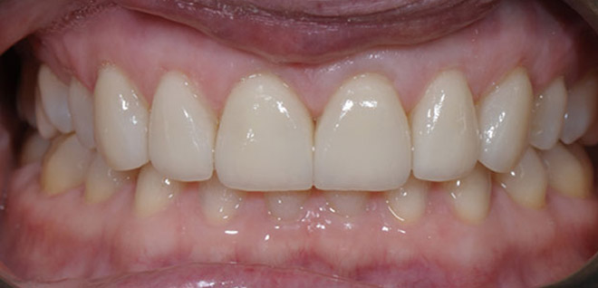
Case 2
Anita has porcelain veneers on her 6 upper front teeth to hide discolouration and correct her crowding.


Sandra has worn, crowded anterior teeth and the posterior teeth have collapsed inwards narrowing the smile.
A “Digital Smile” and 3-D mock-up was performed, straightening the teeth and broadening the smile. The “trial smile” mock-up revealed that minimal tooth preparation would be necessary to place porcelain veneers on the upper teeth (see “Biomimetic Dentistry” – create link) in order to create for Sandra her perfect smile.
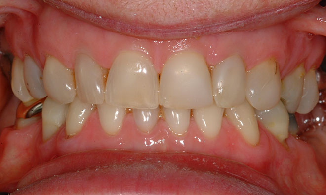
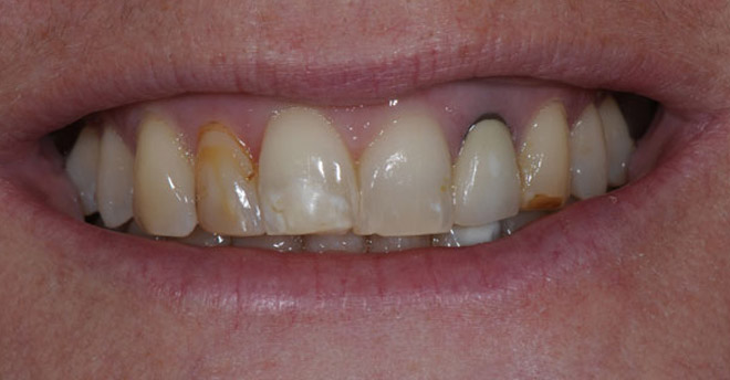
Case 1
Paul has had metal-free ceramic crown replacement on his 2 front teeth and porcelain veneers on his lateral
incisors and left canine.
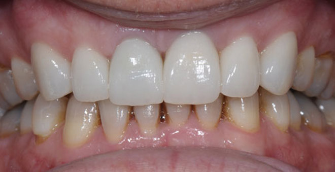
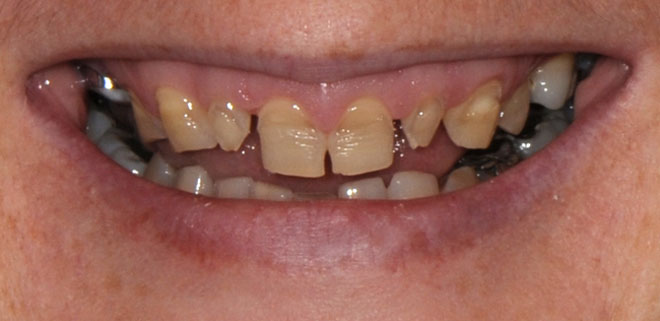
Case 2
Sue has had the old crowns on her 2 front teeth replaced with metal-free ceramic crowns, porcelain veneers
on her lateral incisors, recontouring of her left canine and bleaching prior to getting married.


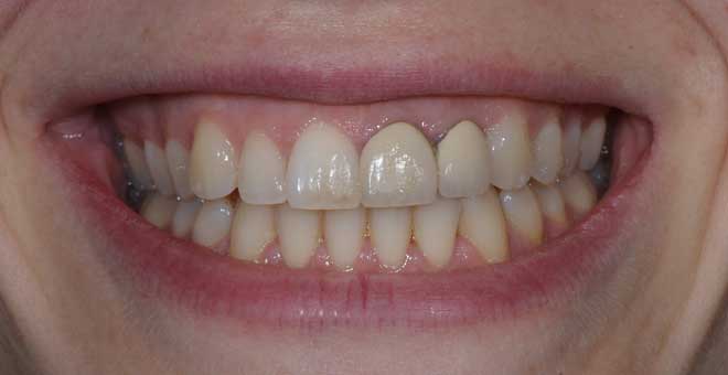
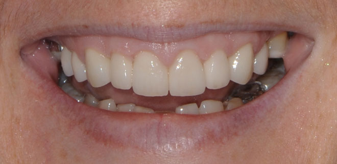
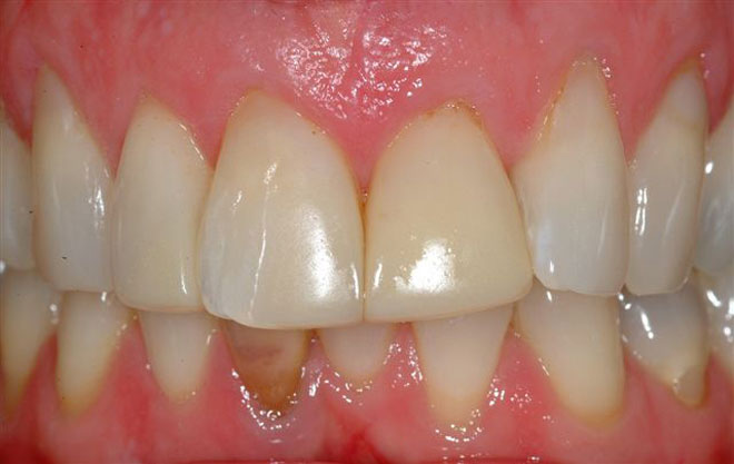
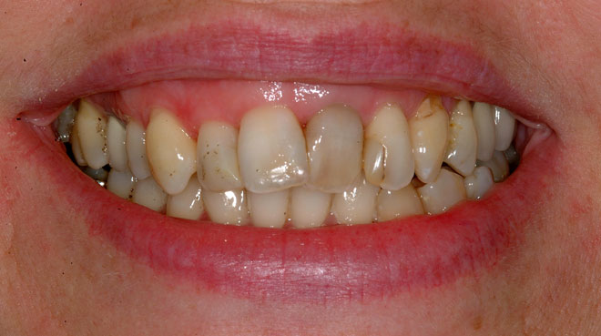
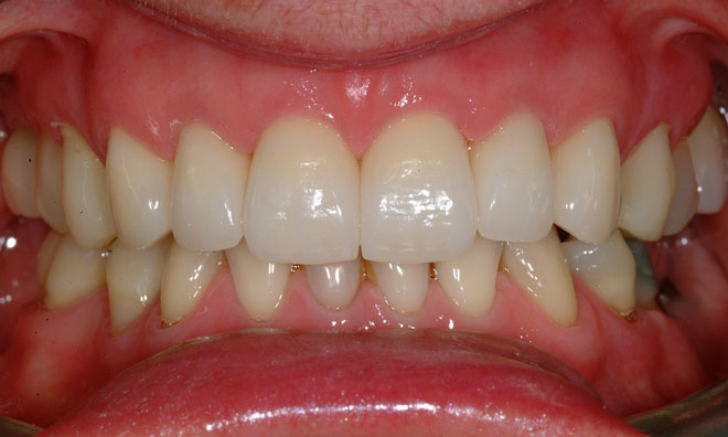
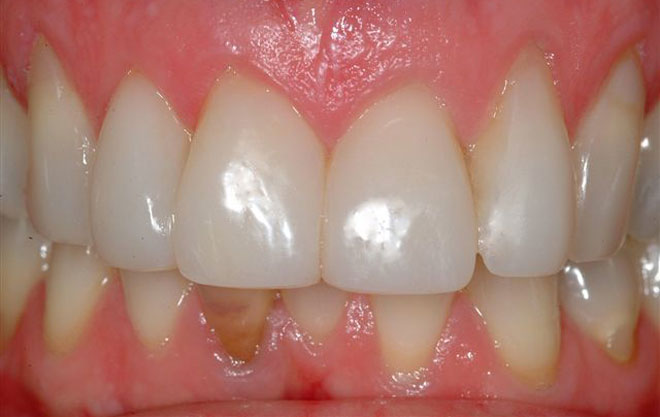
Case 1
Pola has had her old crowns replaced with metal-free ceramic crowns, eliminating the dark crown margin and
grey gum. Bonded all-ceramic crowns let the light “back-in” and act like tooth enamel
replacement, in effect re-creating nature.


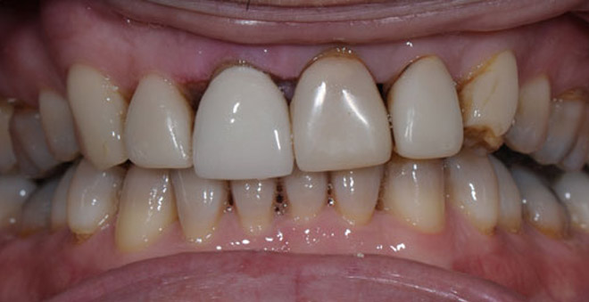
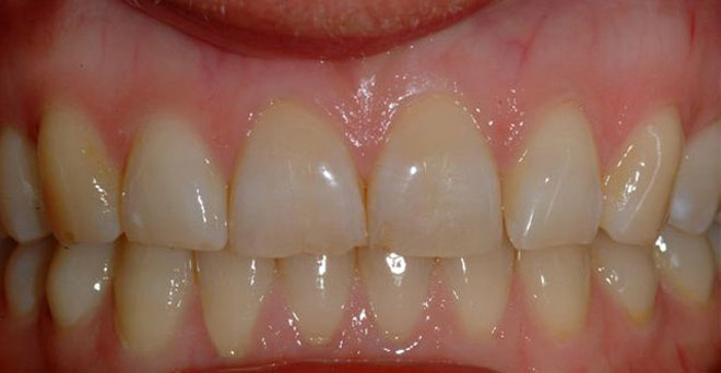
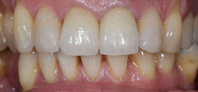
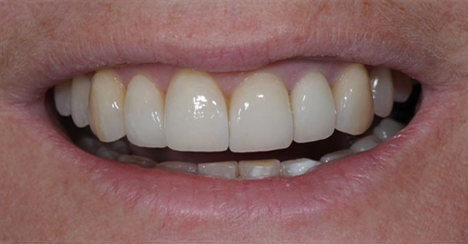
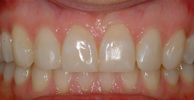
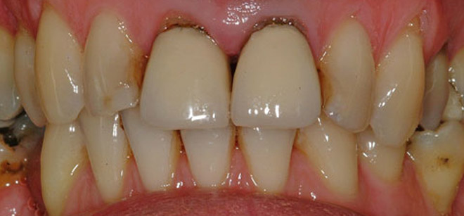
Case 2
Richard has had metal-free ceramic crowns placed on his 4 upper incisors and a new crown on his left canine.
The "black holes" caused by gum loss between the teeth has been closed down with the new crowns, giving
Richard a more pleasing smile.


Case 1
Kathy has replaced her missing canine teeth with implants and made her peg shaped lateral incisors appear
normally proportioned with porcelain veneers.


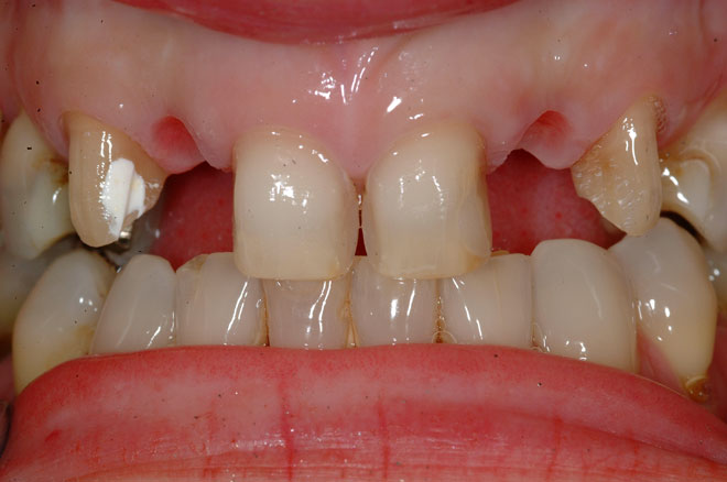
Case 2
Christine has replaced her missing lateral incisors with cantilver bridges anchored with crowns to her
heavily filled canine teeth. Porcelain veneers have been placed on her discoloured central incisors.

Case 1
Chloe has had the gaps between her teeth closed and the teeth lengthened with minimally invasive porcelain
veneers.

Case 3
Louise has had the broken down upper anterior teeth restored with metal-free ceramic crowns, closing the
gaps and replacing tooth structure lost due to extensive wear, erosion and attrition.
Composite Build-Up

Case 1
Michelle has had the moderate wear on her upper anterior teeth corrected with non-invasive direct composite
bonding.

Case 2
Rosalee has had composite veneers placed on her upper incisor teeth to correct the mild wear and mask the
underlying tooth discolouration.
Veneer Build-Up
Case 1
Angela has had minimaly invasive procelain veneers placed to correct her moderate to severe anterior tooth
wear.
Crown Build-Up
Case 1
Nasser has had metal-free "e.max" ceramic crowns placed on his heavily filled and worn upper anterior teeth.
Case 2
Carroll has had metal-free "Zirconia" ceramic crowns placed on her upper anterior teeth to correct her tooth
wear, smile shape and lighten the tooth colour.


