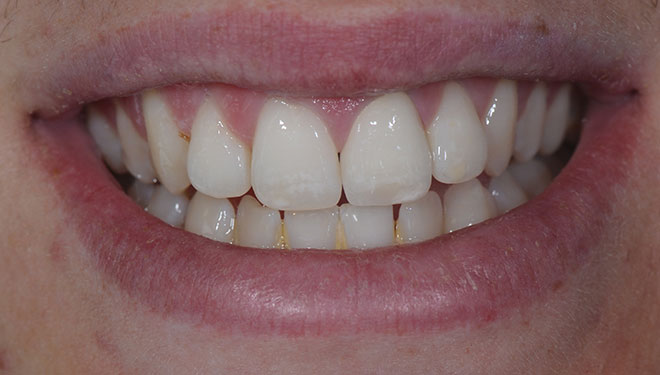
Single Tooth Reconstruction


Ben’s left central incisor was fractured and the broken piece rebounded some years ago. Since then the tooth has undergone significant darkening. A bonded ceramic restoration was used to definitively restore normal shape and colour.


