Simple Cases
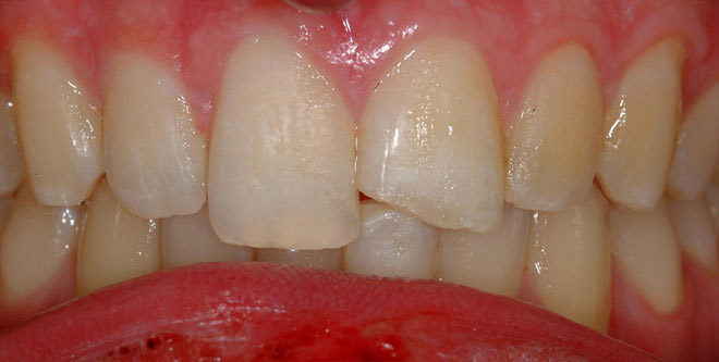
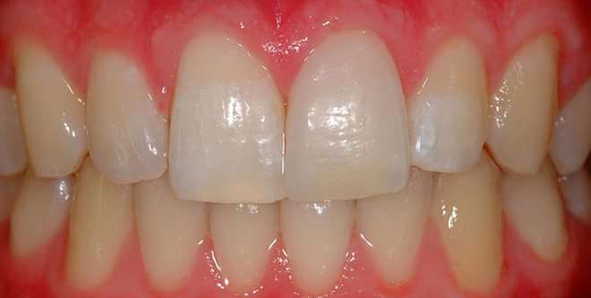
Composite Veneer


Holly has bleached her darkened left front tooth and replaced the old discoloured filling with a single visit direct placement bonded composite veneer.
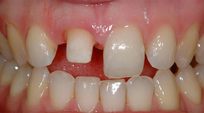
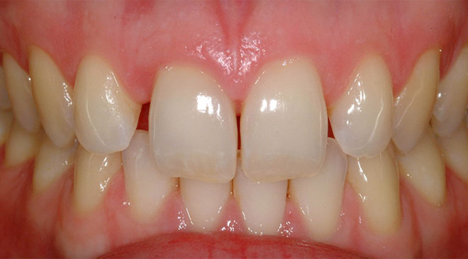
Porcelain Veneer


Don has traumatically fractured his left front tooth, which has been restored with a minimally invasive porcelain veneer
Ceramic Crown


Isabella has replaced her old crown with a modern metal-free All-Ceramic Crown


