Implants
Case 1


Linda has a high smile line and her remaining anterior teeth are drifting and splaying apart. Her back teeth had been replaced with ill fitting removable plates. Linda elected to proceed with an "All on 4" approach. The remaining teeth were removed, implants placed and bridgework fitted 72 hours later.
Case 2
.jpg)
.jpg)

Anne had a bag full of ill-fitting full dentures. She elected to proceed with an "All on 4" approach and "fixed teeth" were fitted 72 hours after implant placement. The upper ridge was reduced using an "alveolectomy" technique to avoid the need for un-cleanable flanges.
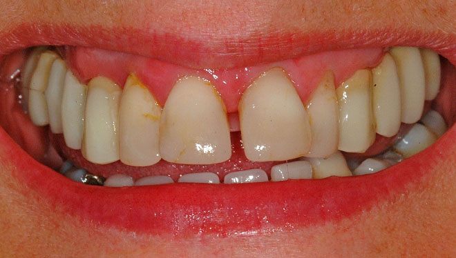
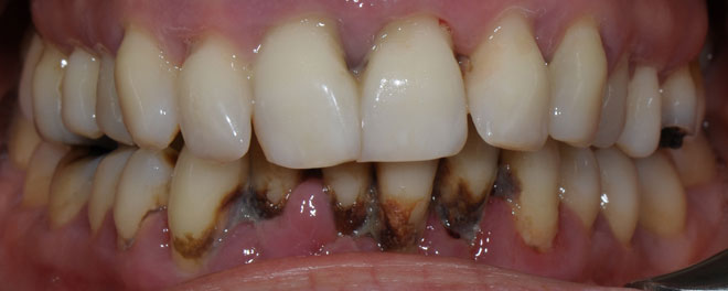
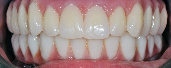
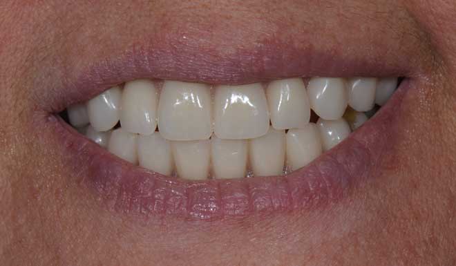
Case 3
.jpg)
.jpg)
Jude was living with loose infected teeth due to severe gum disease. She had all teeth removed and fixed implant bridges were fitted 48 hours after implant placement utilising an “All on 4” approach.


The lip and cheek support is provided by the implant bridge without the need for un-cleanable flanges, often necessary with traditional full jaw implant bridgework.
Case 4


Kay had multiple missing teeth, extensive breakdown of the remaining teeth and a poor bite. Kay elected to proceed with an "All on 4" approach. The remaining teeth were removed, implants placed and upper and lower fixed bridgework fitted 72 hours later. Not only has her bite been corrected, she now has a beautiful smile and full function.
Case 5


Sharon had suffered for years from loose drifting teeth caused by gum disease and progressive bone loss. An “All-on 4” implant approach was used to provide immediate function and aesthetics. An alveolectomy was performed at the same time as her teeth were extracted and implants placed, correcting her gummy smile. The bridge was placed 48 hours after surgery. The after photo was taken at 4 weeks.


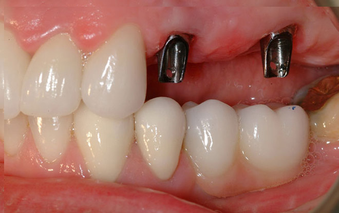
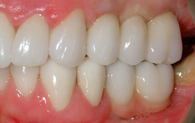
Multiple Teeth Replacement
Terri is missing upper and lower back teeth.
Two implants have been placed in the upper jaw (pictured with attached abutments) for a 3-tooth replacement
bridge.
In the lower jaw 2 implants have been placed. Because of ridge resorption, pink porcelain has been used to
replace the lost gum structure.
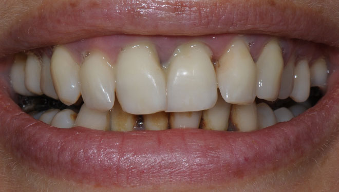
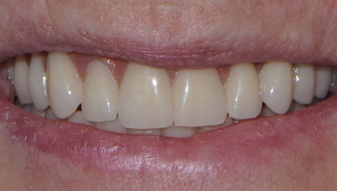
Case 1


Joo has lost his left front tooth and it has been replaced with an implant.
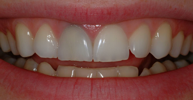
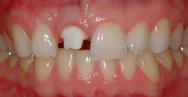
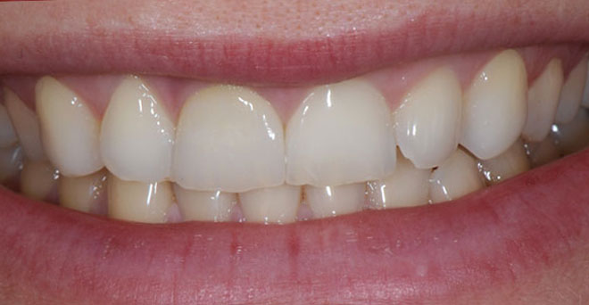
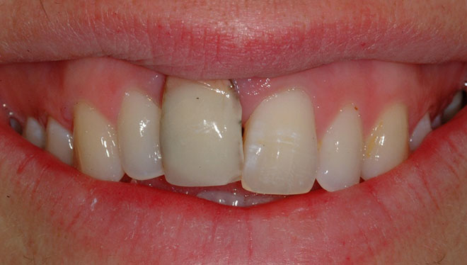
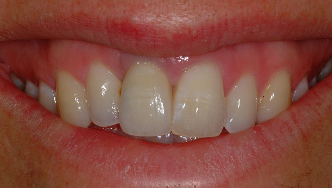
Case 2




Crystal is having her right front tooth replaced with an immediate implant due to root fracture . A Zirconia abutment and metal free ceramic crown has been used to restore the implant, matching to the colour and shape of her natural teeth.
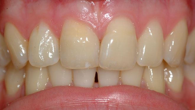
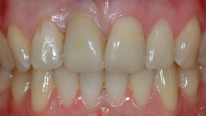
Case 3


Alex's right front tooth required extraction and replacement with an implant. On extraction the gum will recede by about 1.5mm. In Alex's case this has made the gum line between the implant and left front tooth more even.
Case 4


Cayte is going to lose her right front tooth. There is already a considerable gum defect compared to the left front tooth. Extraction will make it worse. Grafting is required in Cayte's case to restore normal gum contour in conjunction with implant replacement.


