Gum Grafts & Lifts


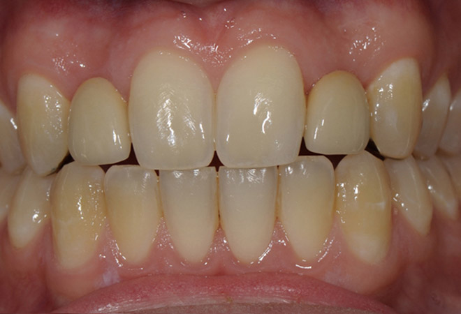
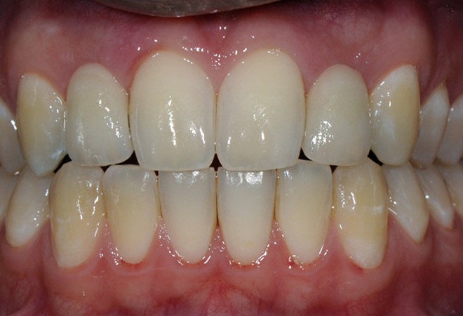
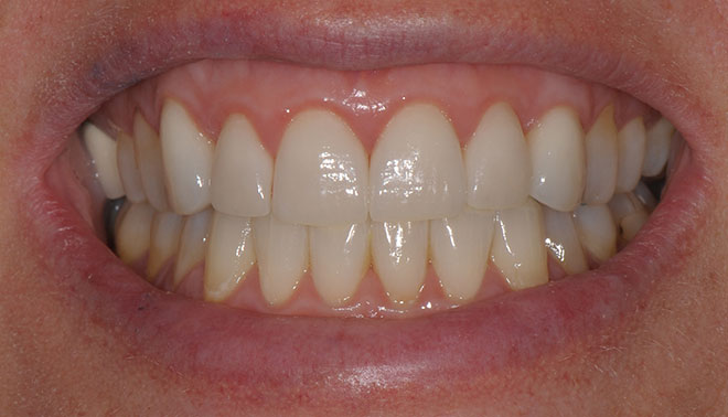
Case 1
Ben is missing his upper lateral incisors. They have been replaced with minimally invasive bonded
bridgework, attached to the canine teeth.
His existing bridgework required replacement and it was decided to "plump out" the resorbed ridge with a gum
graft to make the replacement teeth appear more natural.
The teeth have also been bleached and the new bridgwork has been colour matched to the bleached teeth.


Case 2
Marianne has had gum grafting to cover exposed roots on the upper left incisors and right canine. The
instanding right canine has been built out with direct composite bonding and porcelain veneers placed on the
worn lateral incisors. In conjunction with bleaching, the central incisors have been re-contoured to give
them a softer, more feminine shape.


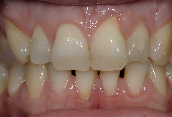
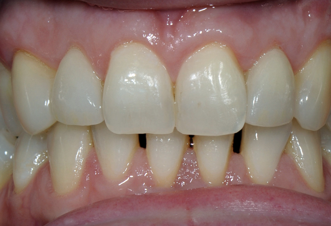
Case 3
Monique has had the poor quality, leaking and failing direct composite veneers on the upper anterior teeth
replaced with bonded ceramic restorations. Prior to replacement, a gum graft was used to cover the exposed
root surface on the upper left canine tooth and improve the overall appearance of the smile.


