Direct Composite
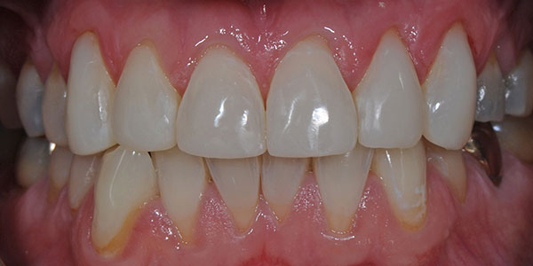
Maddie


Maddie has small teeth and is too young to consider porcelain veneers. She has had direct composite bonding to both restore normal tooth length and close the spaces between her teeth.
Richard


Richard has severely worn and eroded teeth. His teeth have been bleached and returned to normal contour with direct composite bonding.


