Bleaching & Veneers


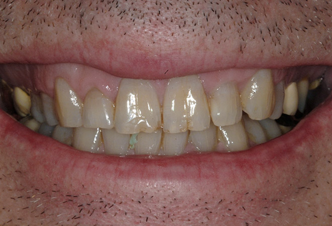
David has had his smile rejuvenated through a combination of simple bleaching and porcelain veneers placed on his worn and chipped 2 upper front teeth. ....
Introducing Dentisure™ - a free dental accident coverage to protect you
against the unexpected.
Find out more ...


David has had his smile rejuvenated through a combination of simple bleaching and porcelain veneers placed on his worn and chipped 2 upper front teeth. ....